Periapical X-ray visor.

Mediciones calibradas. CLAHE. Comparacion lado a lado. Sin instalar nada.

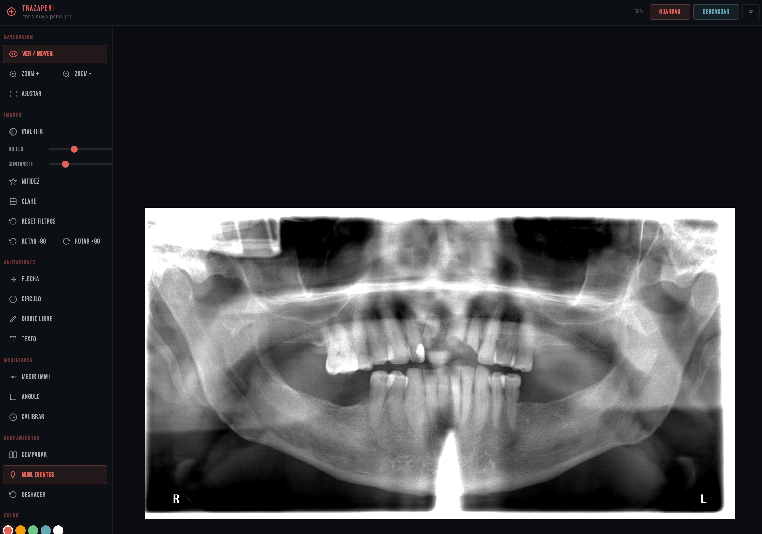
TrazaPeri — Visor periapical profesional
El problema

El visor mas eficiente.

Necesitas medir, comparar, anotar. Tu visor no puede. Entonces abres Dexis, Carestream, o peor — mandas un screenshot por WhatsApp.

Dexis
$4,200
/año
Carestream
$3,800
/año
Apteryx
$2,400
/año
Fundacion solida

La base ya esta lista

Esto no es un prototipo. Es la fundacion sobre la que se construye todo lo demas.

Zoom / Pan / Fit
Scroll zoom, drag pan, doble click fit.
Listo
Brillo / Contraste
Ajuste en tiempo real. Inversion toggle.
Listo
Anotaciones
Flechas, circulos, dibujo libre.
Listo
Exportar
Guarda con anotaciones visibles.
Listo
Mediciones

Mide. No adivines.

Distancia calibrada en mm. Angulos exactos en grados. Calibracion DICOM automatica. Lo que Dexis cobra $350/mes.

Fase 1
Periapical #14
Historial
Notas
1024 x 768 • DICOM
Medir
Distancia
Angulo
Anotar
Imagen
Periapical radiograph 12.4 mm 34.2° Lesion periapical 15 14 13
Medicion activa
Zoom: 100% • Calibrado: 0.1mm/px
Capas: 3/4 visibles
Comparar
Individual
Sync: ON • Zoom: 150%
Periapical antes
Antes
15 Oct 2025
Periapical despues
6 meses despues
15 Abr 2026
Sync zoom
Misma posicion
Overlay
Opacidad
Comparacion

6 meses despues. Mejor o peor?

Dos periapicales, mismo diente, zoom sincronizado. Ve la evolucion sin abrir dos ventanas.

Fase 1
Mejora de imagen

Bisturi de contraste, no martillo.

CLAHE mejora contraste local sin destruir informacion. Revela trabeculas, limites de lesion y canales. El mismo algoritmo de Carestream — no destructivo, toggle on/off.

Fase 1
Original
CLAHE
Sharpen
Original radiograph
Original
CLAHE enhanced radiograph
CLAHE + Sharpen
CLAHE
68%
Sharpen
42%
Denoise
25%
Visor
Capas
Config
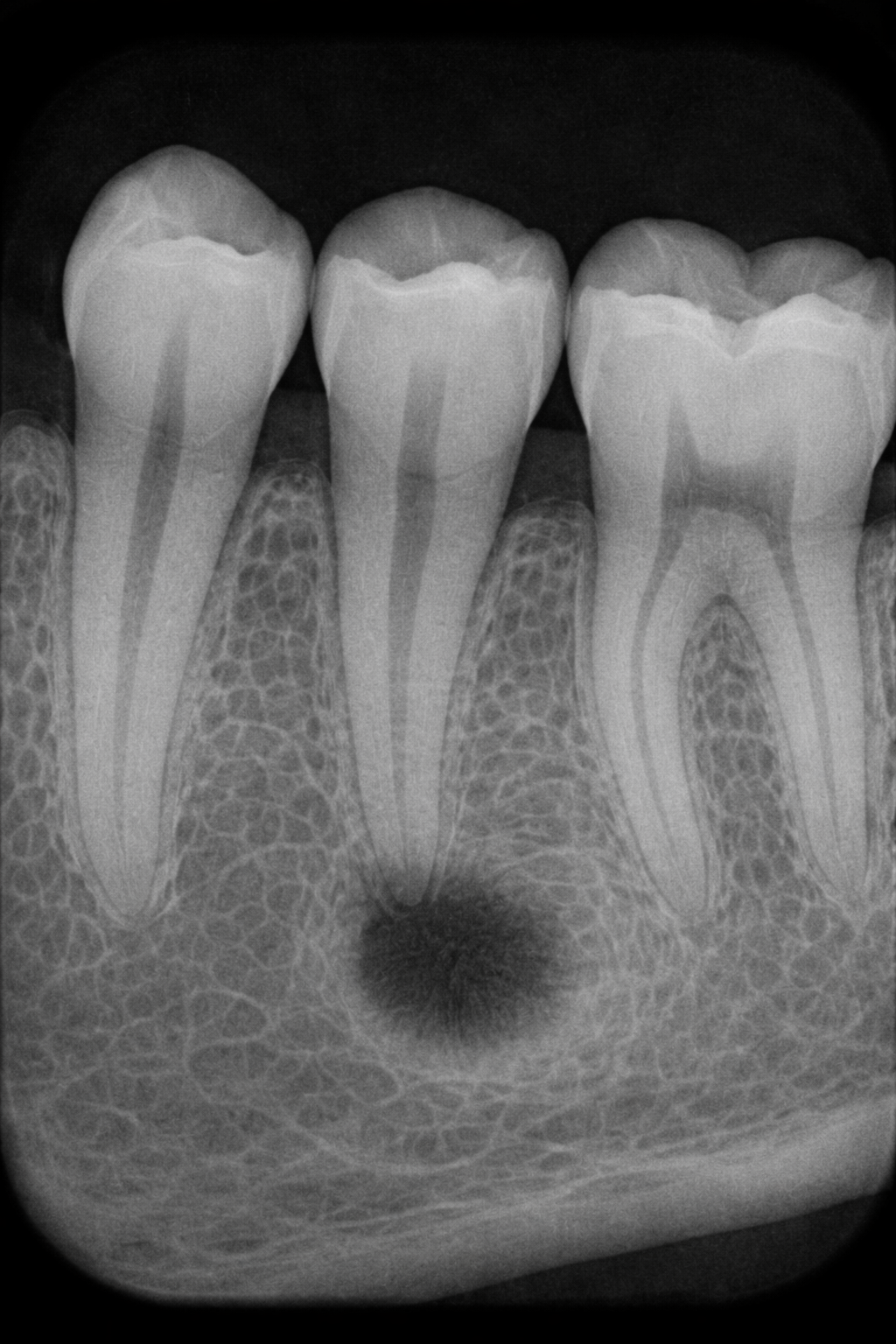
Periapical quadrant 18 17 16 15 14 8.2 mm Radiolucencia apical
Capas de anotacion
4 capas
Numeracion FDI
Overlay automatico
100%
Mediciones
Anotacion interactiva
100%
Hallazgos clinicos
Anotacion manual
100%
CLAHE Enhancement
Filtro de imagen
OFF
Capas + Numeracion

Capas y numeracion. Nivel profesional.

Numeracion FDI o Universal automatica. Cada anotacion en su capa. Toggle visibilidad, ajusta opacidad, exporta lo que necesites.

Fase 1
La comparacion

TrazaPeri vs. los de miles de dolares

Cada linea es una funcion real. Cada precio es un costo real. Decide tu.

Funcion TrazaPeri Dexis Carestream Apteryx
Zoom / Pan / Fit
Brillo / Contraste / Inversion
Anotaciones (flecha, circulo, libre)
Exportar imagen anotada
Medicion lineal calibrada (mm) Pronto
Medicion angular Pronto
Comparacion lado a lado Pronto
CLAHE / Sharpen Pronto
Numeracion dental overlay Pronto
Capas no destructivas Pronto
Basado en navegador
Costo anualIncluido$4,200$3,800$2,400
Instalacion requeridaNingunaSoftware localSoftware localSoftware local
Fase 2 — Diferenciadores

Fase 1 iguala. Fase 2 destruye.

Inteligencia artificial aplicada a radiografia periapical. No marketing — funcionalidad real que ningun visor tradicional tiene.

Deteccion de patologia con IA
Modelo entrenado en miles de periapicales. Detecta lesiones, reabsorcion, perdida osea. Marca probabilidad y severidad.
Fase 2
Superposicion before/after
Alinea dos radiografias automaticamente. Overlay con opacidad variable. Ve el cambio al pixel.
Fase 2
Implante virtual
Coloca un implante sobre la periapical. Evalua posicion, angulacion y proximidad antes de cirugia.
Fase 2
Resumen clinico IA
Genera texto clinico estructurado desde anotaciones y hallazgos. Editable antes de guardar.
Fase 2
Proximidad a estructuras vitales
Distancia automatica a nervio alveolar, seno maxilar, dientes adyacentes. Alertas de seguridad.
Fase 2
Arsenal completo

14 herramientas. Cero licencia.

Visualizacion
Zoom / Pan / Fit
Listo
Brillo / Contraste
Listo
Inversion
Listo
Rotacion
P1
Recorte
P1
Anotaciones
Flechas
Listo
Circulos
Listo
Dibujo libre
Listo
Texto
P1
Capas
P1
Medicion
Lineal (mm)
P1
Angular
P1
Enhancement
CLAHE + Sharpen
P1
Exportar
Listo
Visualizacion
Zoom, pan y fit — navegacion nativa
Scroll para zoom progresivo. Drag para pan. Doble click para fit-to-screen. La navegacion se siente como una app nativa — sin lag, sin saltos, sin recargas.
Implementado
Produccion
Sin latencia
Preguntas frecuentes

Sobre TrazaPeri

TrazaPeri es un software separado?

No. TrazaPeri esta integrado dentro de TrazaLab. Cuando abres una radiografia periapical desde la orden del paciente, se abre con TrazaPeri automaticamente. Sin instalacion, sin licencia extra, sin friccion.

Las mediciones estan calibradas?

Si. TrazaPeri usa los metadatos DICOM de la imagen para calibrar mediciones en milimetros reales. Si la imagen no tiene metadatos de escala, puedes calibrar manualmente con una referencia conocida (ej: esfera de 5mm).

Funciona con radiografias que no son DICOM?

Si. TrazaPeri acepta DICOM, JPEG, PNG y TIFF. Las herramientas de anotacion, mejora de imagen y comparacion funcionan con cualquier formato. Las mediciones calibradas automaticamente requieren DICOM o calibracion manual.

CLAHE es lo mismo que sharpen?

No. CLAHE mejora el contraste local — revela diferencias de densidad osea en zonas que el ajuste lineal aplasta. Sharpen realza bordes y detalles finos. Son complementarios. Ambos no destructivos — toggle on/off.

Las anotaciones se guardan con el caso?

Si. Las capas de anotacion se guardan automaticamente en la orden del paciente dentro de TrazaLab. Puedes volver a abrirlas, editarlas o exportar la imagen con o sin anotaciones visibles. Todo trazable, todo en el historial.

Cuando llegan las funciones de IA (Fase 2)?

Fase 1 (mediciones, comparacion, CLAHE, capas, numeracion) se entrega primero y se entrega impecable. Fase 2 (deteccion IA, superposicion temporal, implantes virtuales) se construye sobre esa base. No hay fecha especifica — primero Fase 1 perfecta.

Proximo paso

Tu visor deberia estar incluido

TrazaPeri viene con TrazaLab. Mediciones, CLAHE, comparacion, capas — todo integrado en el flujo del caso. Sin instalaciones. Sin licencias extras.