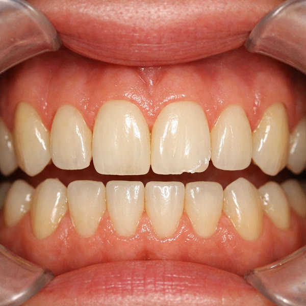
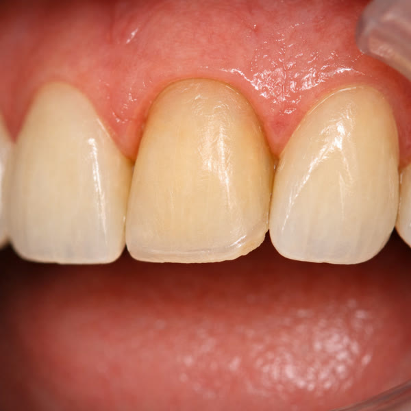
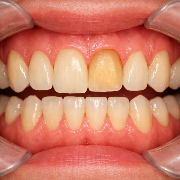
El oficio está ahí. Las herramientas, no siempre.
Cirujanos y laboratorios llevan años produciendo sonrisas hermosas con procesos que nunca fueron pensados para colaborar entre ellos. Esto es lo que pasa cada día — y es testamento al oficio de ambos.
Ambos pusieron oficio. Las herramientas no ayudaron. TrazaDetalle existe para eso — para que tu craft y el del lab viajen juntos, no por separado.






